Sunday, November 22, 2009

Occupational Lung Diseases

 Friends today we will touch one of the very important aspects concerning the respiratory health -- The Occupational Lung Diseases!



There are various occupational lung diseases. Among them are: Asbestosis, a chronic, progressive inflammation of the lung; it is a consequence of prolonged exposure to large quantities of asbestos, a material once widely used in construction, insulation, and manufacturing. It is not contagious.
Black lung disease is the common name for coal workers' pneumoconiosis (CWP)or anthracosis, a lung disease of older workers in the coal industry, causedby inhalation, over many years, of small amounts of coal dust.
Silicosis is a progressive disease that belongs to a group of lung disorderscalled pneumoconioses. Silicosis is marked by the formation of lumps (nodules) and fibrous scar tissue in the lungs. It is the oldest known occupational lung disease, and is caused by exposure to inhaled particles of silica, mostlyfrom quartz in rocks, sand, and similar substances.
When asbestos is inhaled, fibers penetrate the breathing passages and irritate, fill, inflame, and scar lung tissue. In advanced asbestosis, the lungs shrink, stiffen, and become honeycombed (riddled with tiny holes).
Legislation has reduced use of asbestos in the United States, but workers whohandle automobile brake shoe linings, boiler insulation, ceiling acoustic tiles, electrical equipment, and fire-resistant materials are still exposed tothe substance. Asbestos is used in the production of paints and plastics. Significant amounts can be released into the atmosphere when old buildings or boats are razed or remodeled.
Asbestosis is most common in men over 40 who have worked in asbestos-relatedoccupations. Smokers or heavy drinkers have the greatest risk of developing this disease. Between 1968 and 1992, more than 10,000 Americans over the age of 15 died as a result of asbestosis. Nearly 25% of those who died lived in California or New Jersey, and most of them had worked in the construction or shipbuilding trades.
The risk of having black lung disease is directly related to the amount of dust inhaled over the years; the disease typically affects workers over age 50.Its common name comes from the fact that the inhalation of heavy deposits ofcoal dust makes miners lungs look black instead of a healthy pink. Althoughpeople who live in cities often have some black deposits in their lungs frompolluted air, coal miners have much more extensive deposits.
In the years since the federal government has regulated dust levels in coal mines, the number of cases of black lung disease has fallen sharply. Since theFederal Coal Mine Health and Safety Act of 1969, average dust levels have fallen from 8.0 mg. per cubic meter to the current standard of 2.0 mg. per cubic meter. The 1969 law also set up a black lung disability benefits program tocompensate coal miners who have been disabled by on-the-job dust exposure.
Despite the technology available to control the hazard, however, miners stillrun the risk of developing this lung disease. The risk is much lower today,however; fewer than 10% of coal miners have any x ray evidence of coal dust deposits. When there is such evidence, it often shows up as only small black spots less than 1 cm. in diameter, and may have been caused by smoking ratherthan coal dust. This condition is called "simple CWP" and does not lead to symptoms or disability.
It is estimated that there are 2 million workers in the United States employed in occupations at risk for the development of silicosis. These include miners, foundry workers, stonecutters, potters and ceramics workers, sandblasters, tunnel workers, and rock drillers. Silicosis is mostly found in adults over40. It has four forms:
  • Chronic silicosis may take 15 or more years ofexposure to develop. There is only mild impairment of lung functioning. Chronic silicosis may progress to more advanced forms.
  • Patients with complicated silicosis have noticeable shortness of breath, weight loss, and extensive formation of fibrous tissue (fibrosis) in the lungs. These patients areat risk for developing tuberculosis (TB).
  • Accelerated silicosis appears after 5-10 years of intense exposure. The symptoms are similar to those ofcomplicated silicosis. Patients in this group often develop rheumatoid arthritis and other autoimmune disorders.
  • Acute silicosis develops withinsix months to two years of intense exposure to silica. The patient loses a great deal of weight and is constantly short of breath. These patients are at severe risk of TB.
Occupational exposure is the most common cause of asbestosis, but the condition also strikes people who inhale asbestos fiber or who are exposed to wasteproducts from plants near their homes. Family members can develop the diseaseas a result of inhaling particles of asbestos dust that cling to workers' clothes.
It is rare for asbestosis to develop in anyone who hasn't been exposed to large amounts of asbestos on a regular basis for at least 10 years. Symptoms ofthe disease do not usually appear until 15-20 years after initial exposure toasbestos.
The first symptom of asbestosis is usually shortness of breath following exercise or other physical activity. The early stages of the disease are also characterized by a dry cough and a generalized feeling of illness.
As the disease progresses and lung damage increases, shortness of breath occurs even when the patient is at rest. Recurrent respiratory infections and coughing up blood are common. So is swelling of the feet, ankles, or hands. Other symptoms of advanced asbestosis include chest pain, hoarseness, and restless sleep. Patients who have asbestosis often have clubbed (widened and thickened) fingers. Other potential complications include heart failure, collapsed (deflated) lung, and pleurisy (inflammation of the membrane that protects thelung).
Since the particles of fine coal dust, which a miner breathes when he is in the mines, cannot be destroyed within the lungs or removed from them, builds up. Eventually, this build-up causes thickening and scarring, making the lungsless efficient in supplying oxygen to the blood.
The primary symptom of the disease is shortness of breath, which gradually gets worse as the disease progresses. In severe cases, the patient may developcor pulmonale, an enlargement and strain of the right side of the heart caused by chronic lung disease. This may eventually cause right-sided heart failure.
Some patients develop emphysema (a disease in which the tiny air sacs in thelungs become damaged, leading to shortness of breath, and respiratory and heart failure) as a complication of black lung disease. Others develop a severetype of black lung disease called progressive massive fibrosis, in which damage continues in the upper parts of the lungs even after exposure to the dusthas ended. Scientists aren't sure what causes this serious complication. Somethink that it may be due to the breathing of a mixture of coal and silica dust that is found in certain mines. Silica is far more likely to lead to scarring than coal dust alone.
The precise mechanism that triggers the development of silicosis is still unclear. What is known is that particles of silica dust get trapped in the tinysacs (alveoli) in the lungs where air exchange takes place. White blood cellscalled macrophages in the alveoli ingest the silica and die. The resulting inflammation attracts other macrophages to the region. The nodule forms when the immune system forms fibrous tissue to seal off the reactive area. The disease process may stop at this point, or speed up and destroy large areas of the lung. The fibrosis may continue even after the worker is no longer exposedto silica.
Early symptoms of silicosis include shortness of breath after exercising anda harsh, dry cough. Patients may have more trouble breathing and cough up blood as the disease progresses. Congestive heart failure can give their nails abluish tint. Patients with advanced silicosis may have trouble sleeping andexperience chest pain, hoarseness, and loss of appetite. Silicosis patients are at high risk for TB, and should be checked for the disease during the doctor's examination.
Screening of at-risk workers can reveal lung inflammation and lesions characteristic of asbestosis. Patients' medical histories can identify occupations,hobbies, or other situations likely to involve exposure to asbestos fibers.
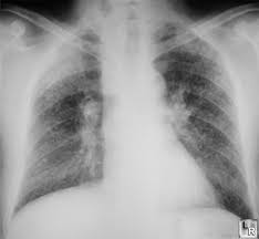
X rays can show shadows or spots on the lungs or an indistinct or shaggy outline of the heart that suggests the presence of asbestosis. Blood tests are used to measure concentrations of oxygen and carbon dioxide. Pulmonary functiontests can be used to assess a patient's ability to inhale and exhale, and acomputed tomography scan (CT) of the lungs can show flat, raised patches associated with advanced asbestosis.
Black lung disease can be diagnosed by checking a patient's history for exposure to coal dust, followed by a chest x-ray to discover if the characteristicspots in the lungs caused by coal dust are present. A pulmonary function test may aid in diagnosis.
X rays can detect black lung disease before it causes any symptoms. If exposure to the dust is stopped at that point, progression of the disease may be prevented.
Diagnosis of silicosis is based on:


  • A detailed occupational history.
  • Chest x rays will usually show small round opaque areas in chronic silicosis. The round areas are larger in complicated and accelerated silicosis.
  • Bronchoscopy.
  • Lung function tests.
It should be noted that the severity of the patient's symptoms does not always correlate with x-ray findings or lung function test results.
The goal of treatment is to help patients breathe more easily, prevent coldsand other respiratory infections, and control complications associated with advanced disease. Ultrasonic, cool-mist humidifiers or controlled coughing canloosen bronchial secretions.
Regular exercise helps maintain and improve lung capacity. Although temporarybed rest may be recommended, patients are encouraged to resume their regularactivities as soon as they can.
Antibiotics may be prescribed to combat infection. Aspirin or acetominophen (Tylenol) can relieve minor discomfort and bronchodilators that are swallowed or inhaled can relax and widen breathing passages.
Diuretics (drugs that increase urine production and excretion) or digitalis glycoside (Digitalis purpurea) are prescribed for some patients. Othersmay need to use supplemental oxygen or use less salt.
Anyone who develops symptoms of asbestosis should see a family physician or lung disease specialist. A doctor should be notified if someone who has been diagnosed with asbestosis:
  • Coughs up blood
  • Continues to lose weight
  • Is short of breath
  • Has chest pain
  • Develops asudden fever of 101°F (38.3°C) or higher
  • Develops unfamiliar, unexplained symptoms.
There is no treatment or cure for black lung disease, although it is possibleto treat complications such as lung infections and cor pulmonale. Further exposure to coal dust must be stopped.
Likewise, there is no cure for silicosis. Therapy is intended to relieve symptoms, treat complications, and prevent respiratory infections. It includes careful monitoring for signs of TB. Respiratory symptoms may be treated with bronchodilators, increased fluid intake, steam inhalation, and physical therapy. Patients with severe breathing difficulties may be given oxygen therapy orplaced on a mechanical ventilator. Acute silicosis may progress to complete respiratory failure. Heart-lung transplants are the only hope for some patients.
Patients with silicosis should call their doctor for any of the following symptoms:
  • Tiredness or mental confusion
  • Continued weight loss
  • Coughing up blood
  • Fever, chest pain, breathlessness, or new unexplained symptoms.
Patients with silicosis should be advised to quit smoking, prevent infections by avoiding crowds and persons with colds or similar infections, andreceive vaccinations against influenza and pneumonia. They should be encouraged to increase their exercise capacity by keeping up regular activity, and tolearn to pace themselves with their daily routine.
Asbestosis can't be cured, but its symptoms can be controlled. Doctors don'tknow why the health of some patients deteriorates and the condition of othersremain the same, but believe the difference may be due to varying exposuresof asbestos. People with asbestosis who smoke, particularly those who smoke more than one pack of cigarettes each day, are at increased risk for developing lung cancer and should be strongly advised to quit smoking.
Those miners with simple CWP can lead a normal life. However, patients who develop black lung disease at an early age, or who have progressive massive fibrosis, have a higher risk of premature death.
Silicosis is currently incurable. The prognosis for patients with chronic silicosis is generally good. Acute silicosis, however, may progress rapidly to respiratory failure and death.
Workers in asbestosis-related industries should have regular x rays to determine whether their lungs are healthy. A person whose lung x ray shows a shadowshould eliminate asbestos exposure even if no symptoms of the condition haveappeared.


Anyone who works with asbestos should wear a protective mask or a hood with aclean-air supply and obey recommended procedures to control asbestos dust. Anyone who is at risk of developing asbestosis should:
  • Not smoke
  • Be vaccinated against influenza and pneumonia
  • Exercise regularlyto maintain cardiopulmonary fitness
  • Avoid crowds and people who haverespiratory infections.
A person who has asbestosis should exercise regularly, relax, and conserve energy whenever necessary.
The only way to prevent black lung disease is to avoid long-term exposure tocoal dust. Coal mines may help prevent the condition by lowering coal dust levels and providing protective clothes to coal miners.
Silicosis is a preventable disease. Preventive occupational safety measures include:
  • Controls to minimize workplace exposure to silica dust
  • Substitution of substances--especially in sandblasting--that are less hazardous than silica
  • Clear identification of dangerous areas in the workplace
  • Informing workers about the dangers of overexposure to silica dust, training them in safety techniques, and giving them appropriate protectiveclothing and equipment.
Coworkers of anyone diagnosed with silicosis should be examined for symptomsof the disease. The state health department and the Occupational Safety and Health Administration (OSHA) or the Mine Safety and Health Administration (MSHA) must be notified whenever a diagnosis of silicosis is confirmed.
http://www.faqs.org/

No comments:

Post a Comment

Please do post your comments

Promote your blog

Promote Your Blog